Instructional Video10:01
SciShow

6 Supplements That Might Actually Help You

12th - Higher Ed
More than half of Americans take a dietary supplement, but the truth is, most people don't need them. There are, however, a handful of supplements that can be helpful in some situations! Chapters BEET JUICE 2:58 ANTIOXIDANT MULTIVITAMINS...
Instructional Video4:24
SciShow

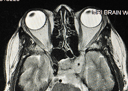
Why Shouldn't You Look at the Sun?

12th - Higher Ed
You might have done it accidentally or intentionally but one thing is clear: Don't stare at the the sun! Hank Green explains why.
Instructional Video2:07
Curated Video

Cómo vemos. Segunda parte: el cerebro

3rd - 8th
Únicamente una pequeña parte del ojo «ve» y enfoca. Para convertir la imagen de la retina en visión completa, el ojo necesita la ayuda del cerebro. Twig - Biología - El ser humano - Los sentidos Claves de aprendizaje El...
Instructional Video2:07
Curated Video

How We See Part 2: Brain

6th - 12th
Only a small part of what the eye 'sees' is in focus. To turn the image on the retina into complete vision the eye needs help from the brain. Biology - Being Human - Learning Points. The brain processes the raw information coming from...
Instructional Video13:40
Catalyst University

Anatomy of the Eyeball and 3 Tunics

Higher Ed
In this video, we explore the anatomy of the eyeball and see which components are part of which of three tunics (layers).